Gwen Cohen DDS board certified orthodontist
156 Ramapo Valley Rd., Mahwah, NJ 07430

Call or Text: (201) 828-9188

  • Home
  • Our Practice
    • Meet Dr. Gwen Cohen
    • Board Certification
    • Meet the Staff
    • What Sets Us Apart
    • Cohen Cash
    • Giving Back
  • For New Patients
    • Office Visits
    • Financial Information
    • Office Tour
    • Patient Forms
    • Testimonials
    • Before and After
  • Treatments
    • Common Treatments
    • iTero® Digital Impression System
    • Two-Phase Treatment
    • For Children
    • For Teens
    • For Adults
    • Types of Braces
    • Types of Appliances
    • Palate Expander
    • Retainer Instructions
  • Invisalign®
    • Invisalign® Info
    • Invisalign Teen® Info
    • Invisalign® Costs
    • Invisalign® FAQs
    • Invisalign® Testimonials
    • Invisalign® Videos
  • Wearing Braces
    • Life with Braces
    • Brushing and Flossing
    • Emergency Care
  • Contact Us
    • Office Location
    • Appointment Request

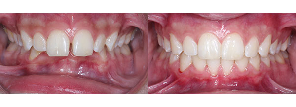
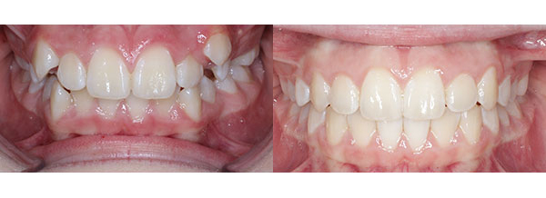
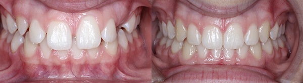
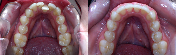
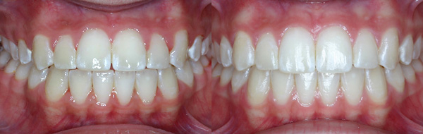
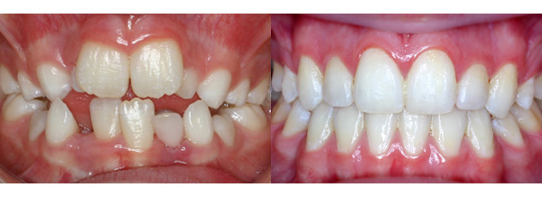
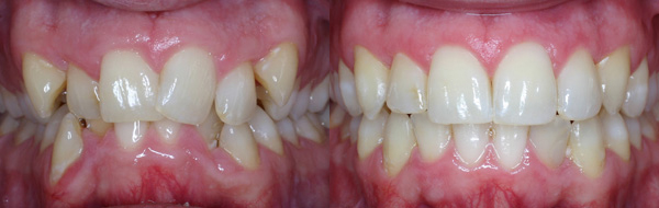
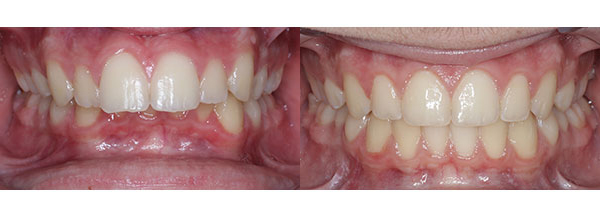
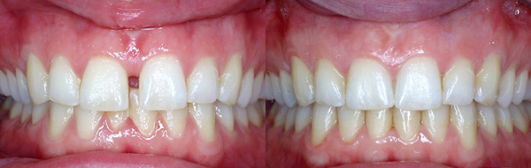
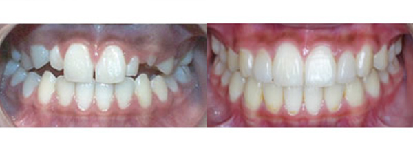
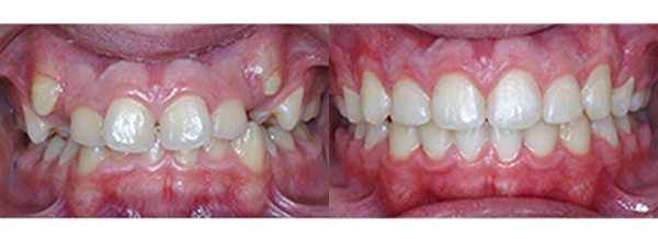
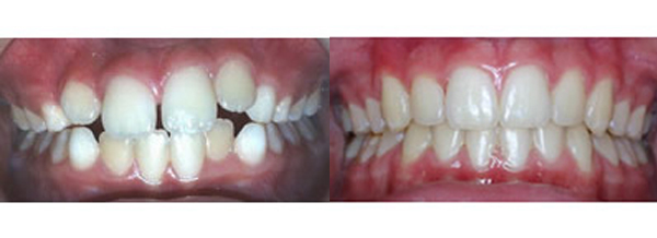
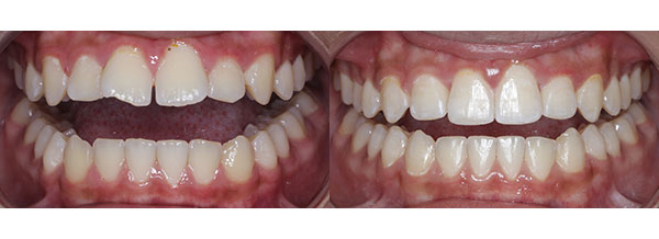
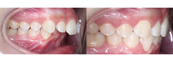
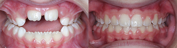
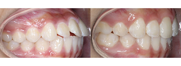
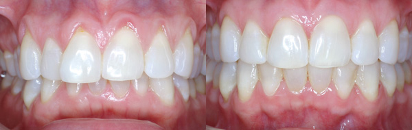
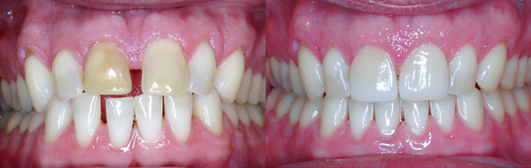
Before and After

  • Office Visits
  • Financial Information
  • Office Tour
  • Patient Forms
  • Testimonials
  • Before and After
Back to Top

browse

  • Home
  • Our Practice
  • For New Patients
  • Treatments
  • Invisalign®
  • Wearing Braces
  • Contact Us
  • Sitemap
  • Terms & Conditions
  • Privacy Policy
Click here for accessibility.

find us

Gwen Cohen DDS 156 Ramapo Valley Rd., Mahwah, NJ 07430 (201) 828-9188